近期,徐州市妇幼保健院李桂林教授团队成功为一名先天性梗阻性子宫颈、阴道发育异常,即Ⅱ型阴道闭锁的13岁女孩实施了输卵管移植代宫颈管+阴道成型重建手术,成为了国内、外首例成功实施该方案的案例,为此类疾病的治疗开辟了先河。

01 经血逆流盆腔 手术刻不容缓
小玲(化名)13岁,到徐州市妇幼保健院就诊时,周期性腹痛已持续一年之久,不仅影响了孩子的学业、整个家庭也陷入了无限的困境。经各项检查发现,小玲患有先天梗阻性生殖道发育异常,先天性无阴道和条索状宫颈。虽然如此,小玲的子宫却发育良好,所以每次月经来潮时,经血无法正常排出,只能通过输卵管逆流到盆腔,导致难以忍受的腹痛。小玲也曾在父母的陪同下到国内多家大医院就诊,给出的治疗方案均是切除子宫体,等待时机做二期阴道成形手术,这对于一个13岁的女孩,还有父母来说是难以接受的。

李桂林教授团队考虑到小玲盆腔积血严重,持续的腹痛无法上课,连吃饭、睡觉都受到了严重的影响,身体消瘦,甚至不站立行走。如此下去,可能不仅会导致腹腔内的黏连,并严重威胁孩子的身心健康,因此进行手术已刻不容缓。
02 保留子宫 选择更有温度的手术方式
可是在手术方式的选择上,李教授团队却遇到了极大挑战。鉴于小玲目前的情况,国际、国内指南均指出,切除子宫等待二期阴道成形手术是可行又安全的治疗方式,而其他的一些手术方式,比如支架法和发育异常的宫颈截除加阴道成形法,往往因为宫颈、阴道再度黏连和反复感染,需要再次手术切除子宫体,难以取得预期效果。
小玲年龄尚小,存在各器官发育未完全、组织脆嫩、弹性差等诸多因素,这些都为此次手术增添了新挑战。这项操作的膀胱损伤、直肠损伤风险均较高,一旦出现器官损伤,手术将无法继续,也将面临切除子宫的风险。即便是面临风险与挑战,但考虑到孩子的身心健康和未来的生育希望,李桂林教授团队还是为病人选择了保留子宫的重建性之路,坚持为1%的可能尽100%的努力,而此项重建手术关键在于宫颈管的重建。








由于小玲病情十分罕见,国内外均没有经验可借鉴,因此李教授团队查阅了大量文献,进行了多次术前讨论,并与小玲父母共同参与制定手术方案。为了使他们了解复杂的手术过程,李教授甚至亲手用橡皮泥做出了各个模型与手术步骤,便于他们理解。经过多番讨论与沟通,最终创新性的选择了输卵管移植利用自身自然通道代替宫颈管的手术方案,一条艰难的重建之路。
03 变废为宝 用积水的输卵管代替宫颈管

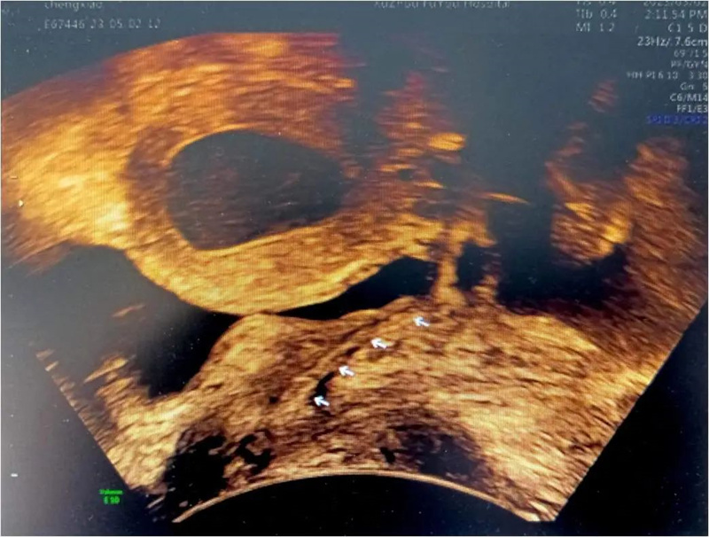
早在进行前期检查时,李教授就发现小玲一侧输卵管因经血逆流造成严重积水伞端封闭,已失去了保留价值。如果能将积水的输卵管休整后移植到子宫下端代替宫颈管,便能变废为宝。但国内、外关于先天性阴道、宫颈发育异常的Ⅱ型阴道闭锁保留子宫的手术成功案例十分罕见,可参考的资料更是少之又少。国内、外文献检索亦未见有使用输卵管代替宫颈管的案例报道,也是李桂林教授团队在医学未知领域的又一次“创新之旅”。
在获得家属知情同意后,2023年4月底,通过腹腔镜方式,李桂林教授团队截取了3公分有血供和功能的输卵管,成功为小玲实施了输卵管代宫颈管+阴道成型重建手术。成为医学史上,国内、国际第一例成功实施该方案的病例。
04 喜讯传来 随访不懈怠
术后仅半月,传来喜讯,小玲首次月经来潮,腹痛完全消失。孩子和一同前来的父母的脸上又浮现出了久违的笑容。移植的宫颈管也成功存活。李桂林教授还提到,此类患者术后要实现最佳的远期效果,仍然离不开精心的术后管理和随访。截至发稿前,小玲已正常月经来潮三周期。我们恭喜李桂林教授团队的成功,也祝愿小玲健康成长。
05 医者仁心 创新引领

徐州市妇幼保健院李桂林教授在妇产科领域默默耕耘30余载,他不仅有精湛的医术,在学科发展方面,更是注重创新引领。不断探索新的医疗技术,推进学科发展。积极引进新技术、新项目为医院的的发展做出了不懈努力。由李桂林教授主导的腹腔镜下宫颈癌根治术中的组合式无瘤技术,不仅得到了国内同行的广泛认可,同时相关的技术创新也获得了多项省、市级奖项和国家发明专利与国际专利。创新的盆底手术,也在全省的视频比赛中获得了一等奖。