徐州市儿童医院科普:认识手足口病,不再手足无措!
徐州市儿童医院科普:游泳对儿童有何益处?支原体肺炎的患儿可以游泳吗?
徐州市儿童医院专家提醒:小儿咳嗽痰难咳,中医外治法来帮助
承岐黄薪火 传特色技术——徐州市中医院中医特色护理技术培训班圆满结业
徐州市中医院开展冬日茶饮暖人心专项活动|“三心”服务
奎屯市卫健系统代表团莅临徐州市中医院参观交流
徐州市口腔医院周猛同志当选江苏省整形美容协会面部年轻化分会副主任委员
守护儿童安全 人人会急救——徐州市儿童医院门诊输液室健康教育进校园活动
徐州市儿童医院科普:宝宝牛奶蛋白过敏怎么回事?
徐州市儿童医院科普:甲状腺功能减低症的警惕信号
徐州市儿童医院科普:儿童支原体肺炎感染恢复期,看看中医如何养护?
徐州市儿童医院康复科专家提醒:语言发育迟缓评估很重要,找准原因干预才有意义
全面提升服务质量,我们一直在行动——导医业务培训(医疗美容科篇)
“乳此精彩 关爱常在”——徐州市妇幼保健院成功举办粉红丝带月科普咨询义诊活动
徐州市妇幼保健院“感控宣传周暨手卫生宣传周活动”圆满落幕
徐州市妇幼保健院举办阴道镜规范化培训及宫颈疾病诊疗新进展学习班
徐州市妇幼保健院圆满完成徐州幼儿师范高等专科学校托育服务与管理专业实习工作
徐州市妇幼保健院举办“学规范、促规范”成果汇报活动
专题调研——定点零售药店纳入门诊统筹管理
秋冬皮肤病调理有“膏”招
祛湿调水,静心安神——五苓祛湿保健膏
徐州市中医院第十五届膏方节将于11月8日开幕
医校携手,急救赋能——徐州市儿童医院前往棠张镇实验小学举行活动
孩子不好好吃饭 家长手足无措?来听徐州市儿童医院专家讲授儿童厌食防治妙招
徐州市儿童医院科普:支气管哮喘健康教育
徐州市儿童医院专家张锐锋受邀参加“2023年中国罕见病大会”讨论儿童期罕见病
徐州市儿童医院科普:超微创(经脐单孔)
徐州市儿童医院科普:什么是癫痫?
徐州市儿童医院科普:宝宝颈部有个包块,警惕斜颈
徐州市儿童医院科普:急性喉炎就是嗓子发炎吗?
平衡优质医疗资源,让“群众医靠”触手可及——淄博市市立医院来徐州市儿童医院参观、交流
祝贺徐州市口腔医院荣获“健康杯”暨“共青杯”篮球赛乙组第三名
第四届江苏省中医护理专业化护士培训班结业典礼顺利举行
徐州市中医院实施急危重症一体化管理 全面加强患者医疗保障
徐州市儿童医院科普:宝宝乳头要不要挤
徐州市儿童医院科普:宝宝突然发烧怎么办?
儿童健康守护在身边,携手共建健康社区——徐州市儿童医院在铜山区铜山街道文沃社区开展义诊活动
徐州市儿童医院康复科获批泉山区残疾儿童肢体康复服务定点机构 、泉山区残疾儿童孤独症康复服务定点机构
徐州市儿童医院专家提醒:肺炎支原体肺炎患儿增多,注意个人防护是关键
“知晓血栓,让生命动起来”—徐州市妇幼保健院成功举办静脉血栓科普宣传活动
徐州市妇幼保健院成功举办第三季度护理科研文献研读大赛
月经不调可不是小事儿!
秋季哮喘患者增多 呼吸科专家:规范治疗减少发作
肺结节会癌变吗?市中医院肺癌专病门诊辨证精准诊疗
息肉是肠道内的“定时炸弹”,40岁以上应定期做肠镜检查
科普促健康,携手向未来——徐州市中医院护理部开展爱老、助老、敬老主题活动
徐州异地就医备案如何办理?哪些人可以申请异地就医备案?
徐州市儿童医院科普:如何治疗和预防食物过敏?
徐州市儿童医院科普:宝宝摇头是缺钙吗?
胡言乱语又失眠 徐州市儿童医院成功救治一例神经系统罕见脑炎患儿
优质服务暖童心,健康义诊乡村行——徐州市儿童医院在张集镇中心卫生院开展义诊活动
情暖中秋 欢度国庆 助“童”成长——徐州市儿童医院前往灵璧安浈医院开展活动
夯实基本功,技精展风采——徐州市妇幼保健院举办第三季度年轻护士护士技能操作竞赛
徐州市妇幼保健院召开工会会员代表大会圆满完成工会换届选举工作
中秋、国庆假期如何就诊,专家坐诊表请查收~
徐州市妇幼保健院顺利完成2023年医院感染现患率调查工作
市妇幼保健院开展院感兼职人员系列培训暨现患率调查培训
中国预防出生缺陷日之“产前筛查与产前诊断”篇
“强基础、提质量、促发展”——改善护理服务行动动员会
江苏省妇女“两癌”检查实训基地专家组对我市进行现场评估
遗传医学中心:出生缺陷三级预防 科学健康孕育 助力母婴健康
宫颈疾病专家告诉你: 感染HPV≠性病低级别病变≠宫颈癌
徐州市儿童医院科普:无疤痕单通道腹腔镜技术治疗小儿常见外科疾病
徐州市儿童医院科普:孩子腹痛别大意,4种常见病很危险
徐州市儿童医院科普:关注儿童及青少年胸壁隆起 叉状肋
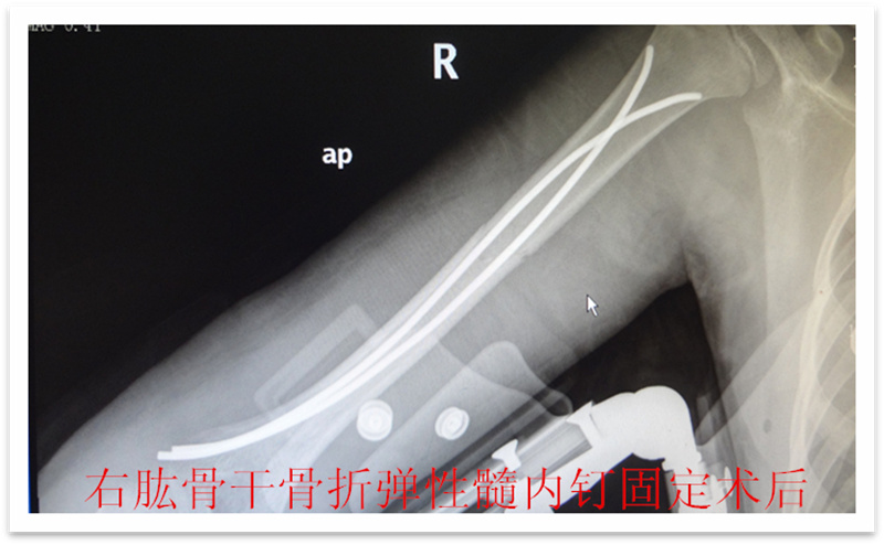
徐州市儿童医院科普:儿童骨折的微创治疗--四肢骨折的弹性髓内钉技术
徐州市儿童医院科普:“裹襁褓”VS“蜡烛包”--家庭姿势管理
徐州市儿童医院带您认识中医——浅述“气一元论”的中医观点
徐州市儿童医院科普:发育性髋关节脱位的早期诊断与治疗
孩子反复贫血无缓解 只因比正常人多了噬血细胞——徐州市儿童医院接诊一例肺含铁血黄素沉着症患儿,提醒家长就医要趁早
徐州市儿童医院科普:宝宝为何还不会玩手—浅谈中线位的重要性
徐州市儿童医院科普:2-3岁幼儿发展里程碑
徐州市儿童医院科普:膝内外翻的矫治
徐州市儿童医院科普:婴幼儿早期教育知多少?
徐州市儿童医院科普:婴儿肌张力高以后就是脑瘫吗?
徐州市儿童医院科普:近期肺炎支原体肺炎高发,家长应如何防治
义诊活动进乡村 儿童健康有“医”靠——徐州市儿童医院在棠张镇卫生院开展义诊活动
即日起!全市居民可免费建口腔健康档案
投稿邮箱 879670190@qq.com
赓续红色血脉 致敬英烈精神——《徐州籍革命烈士传略选编》首发暨赠书仪式在蓝容融航空国防教育基地举行
庆七一 马亚主席再题《彭城两书体》
重磅来袭!九里中学招生政策宣讲会,与老师面对面互动答疑
“庆丰收 促和美” 徐台村农民丰收节真热闹
徐州收藏家协会第三届会员代表大会在四季大酒店召开
我市2023年高考体检工作已正式启动
眼界高时无物碍 心源开处有波清——徐州诗人柳振君大作《心泉流韵》发布会精彩纷呈圆满成功
全市瞩目!2023年彭城万人书法大会复赛在徐州高级中学举行
走进校园︱徐州京师未来实验学校不断进步提升
徐州市企业信用管理协会第七次会员代表大会圆满召开
徐州市2023年中考报名政策问答
2551阅读2025年12月8日
3124阅读2025年12月8日
3127阅读2025年12月8日
3393阅读2025年11月17日
3405阅读2025年11月13日
© 2023 徐州热线网络
苏ICP备19022518号
苏公网安备 32031102000486号
增值电信业务经营许可证编号:苏B2-20221756